آخر الأخبار

منوعات

آية أفرو تظهر على هيئة “بت الريف”

آية أفرو تظهر على هيئة “بت الريف”

  ظهرت الموديل السوداني "آية آفرو" بصورة جديدة عبارة عن فتاة بسيطة ترتدي جلباب مزركش وتحمل "قفة خضار" على هيئة "بت الريف".. ورفعت صفحة "إعلاميات سودانيات" على منصة التواصل الاجتماعي فيسبوك الصورة، وكتب عليها عبارة مختصرة.. الإعلامية آية آفرو..
إقرأ المزيد...
فنانون يشاركون في منتدى الأمة الثقافي

فنانون يشاركون في منتدى الأمة الثقافي

  يشارك عدد من الفنانين في منتدى الأمة الثقافي الذي تنطلق فعالياته يوم الثلاثاء بدار الحزب بشارع الموردة شمال دار الرياضة بمدينة أم درمان.. وينتظر أن يشارك عدد من المطربين في الحفل في مقدمتهم الفنانة حنان بلوبلو - الفنانة خالدة دليل - الفنان ياسر سيد خليفة وغريب كايرو..
إقرأ المزيد...
أربعينية أيقونة الشعر السودانى الشاعر عبد الله شابو

أربعينية أيقونة الشعر السودانى الشاعر عبد الله شابو

أربعينية أيقونة الشعر السودانى الشاعر عبد الله شابو بكري جابر : شابو انحاز للنص الإنساني في جماليته المفتوحة على شعرية النص: عالم عباس : كان رجلاً مستقبلياً يؤمن بالشباب والجيل القادم الكوة : محمد اسماعيل: شهدت مدينة الكوة بالنيل الأبيض الخميس 8 ديسمبر الماضي فعاليات تأبين الشاعر عبد الله شابو،…
إقرأ المزيد...
المشهد الثقافي صفحة اسبوعية اعداد: محمد اسماعيل

المشهد الثقافي صفحة اسبوعية اعداد: محمد اسماعيل

دار أجنحة للنشر تدشن ديوان الشاعر بحر الدين عبدالله ( مشغول بأحزان الأرض) أقامت دار أجنحة للنشر حفل تدشين بقاعة الشارقة بجامعة للديوان الشاعر بحر الدين عبدالله ( مشغول بأحزان الأرض) بمشاركة لفيف من الأدباء والشعراء بجانب حضور العمل الأعلامى والثقافى ، وخلال كلمة الافتتاح تحدث الدكتور الصديق عمر الصديق…
إقرأ المزيد...
تحت رعاية سمو حاكم الشارقة.. الخرطوم تفتح مهرجانها للشعر العربي

تحت رعاية سمو حاكم الشارقة.. الخرطوم تفتح مهرجانها للشعر العربي

اليوم التالي: محمد إسماعيل في تمام الحادية عشرة صباح الخميس الماضي انطلقت الدورة السادسة من مهرجان الخرطوم للشعر العربي برعاية كريمة من سمو حاكم الشارقة الشيخ الدكتور سلطان بن محمد القاسمي. وبتشريف من وزير التعليم العالي والبحث العلمي محمد حسن دهب وسعادة عبدالله العويس رئيس دائرة الثقافة بالشارقة، وسفير دولة…
إقرأ المزيد...
بسبب تراجع الحذرمن كورونا.. تحذير من متحور جديد فتاك

بسبب تراجع الحذرمن كورونا.. تحذير من متحور جديد فتاك

اليوم التالي _وكالات قال مدير منظمة الصحة العالمية تيدروس أدحانوم غيبرييسوس، أمس الجمعة، إن الثغرات في استراتيجيات التصدي لكورونا هذا العام مستمرة في تهيئة الظروف المثالية لظهور متحور جديد، إذ تشهد أجزاء من الصين ارتفاعاً في عدد حالات الإصابة بالفيروس. وقال تيدروس: "اقتربنا للغاية من أن نستطيع قول إن مرحلة…
إقرأ المزيد...
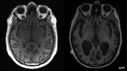
“اكتئاب وقلق وشيخوخة”.. دراسة جديدة تكشف أثر إغلاقات كورونا على أدمغة المراهقين

“اكتئاب وقلق وشيخوخة”.. دراسة جديدة تكشف أثر إغلاقات كورونا على أدمغة المراهقين

اليوم التالي _وكالات أشار بحث جديد إلى أن أدمغة المراهقين الذين اختبروا الإغلاقات خلال تفشي فيروس كورونا ظهرت عليها علامات الشيخوخة المبكرة. وقارن الباحثون فحوصات لـ81 مراهقاً في الولايات المتحدة قبل الوباء، خلال الفترة الممتدة بين نوفمبر 2016 ونوفمبر 2019، مع عينة من 82 مراهقا، أجريت فحوصاتهم بين أكتوبر 2020…
إقرأ المزيد...
منظمة الصحة تعلن عن اسم جديد لمرض “جدري القردة”

منظمة الصحة تعلن عن اسم جديد لمرض “جدري القردة”

اليوم التالي-وكالات قالت منظمة الصحة العالمية إنها ستبدأ في استخدام مصطلح جديد مفضل هو "إم بوكس" كمرادف لجدري القردة وحثت الآخرين على أن يحذوا حذوها بعد تلقي شكاوى من أن الاسم الحالي للمرض ينطوي على عنصرية ووصمة عار. وقالت المنظمة العالمية في بيان، يوم الاثنين: "سيتم استخدام المصطلحين في نفس…
إقرأ المزيد...
مالك تويتر الجديد يصدر “عفواً عاماً” عن الحسابات المجمّدة

مالك تويتر الجديد يصدر “عفواً عاماً” عن الحسابات المجمّدة

اليوم التالي-وكالات أعلن المالك الجديد لتويتر، إيلون ماسك، في تغريدة، الخميس أنّه قرّر، بناء على نتيجة استفتاء أجراه عبر المنصّة واستمرّ 24 ساعة، إصدار "عفو عام" عن الحسابات المجّمدة على موقعه وإعادة تفعيلها اعتباراً من "الأسبوع المقبل". وقال ماسك: "الشعب قال كلمته. العفو العام يبدأ الأسبوع المقبل"، وذلك ردّاً على…
إقرأ المزيد...
المشهد الثقافي صفحة اسبوعية إعداد: محمد اسماعيل

المشهد الثقافي صفحة اسبوعية إعداد: محمد اسماعيل

اليوم الخميس انطلاق مهرجان الخرطوم للشعر العربي السادس على مدار ثلاثة أيام.. الخرطوم تحتفي بالشعر العربي بمشاركة أكثر من (30) شاعرٍ وشاعرة.. اليوم التالي: الخرطوم ينطلق صباح اليوم الخميس مهرجان الخرطوم للشعر العربي السادس الذي ينظمه بيت الشعر بالخرطوم بقاعة وزارة التعليم العالي والبحث العلمي بشارع البلدية شرق المحكمة الدستورية،…
إقرأ المزيد...